Every picture tells a story – of a life transformed. By our brilliant Smile Savers team, working with the Implant Centre…
Every picture tells a story – of a life transformed. By our brilliant Smile Savers team, working with the Implant Centre…


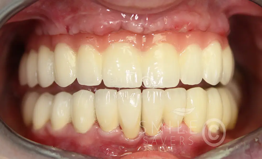
Our client visited our London clinic after a dental emergency in which her front tooth broke at the gum line. She needed a full-mouth solution, especially after previous dental work in the UK left her with missing molars, worn teeth, and uneven front crowns.
Dr. Kaman designed a complete restoration plan using Camlog dental implants and fixed bridges to rebuild strength, function, and aesthetics. During treatment, he placed eight implants across both the upper and lower jaws to replace missing teeth and support long-lasting restorations.
Because the upper back teeth had been lost early, the maxillary sinus had dropped, leaving insufficient bone for implants. To correct this, we carried out two sinus elevation bone grafts. This involved gently lifting the sinus membrane and placing graft material onto the sinus floor to create a stable foundation for the rear upper implants.
After a six-month healing period, the implants were uncovered and fitted with fixed porcelain-fused-to-metal bridges. These restorations restored proper bite function, enhanced durability, and improved the overall appearance of her smile.
The transformation delivered a fully functional, even, and radiant smile. Our client left thrilled with the results and the renewed confidence that comes with a stable and beautifully rebuilt set of teeth.


Our patient came to us with broken, missing and discoloured teeth and had extensive wear and tear.
When Amanda reached out to us, she was seeking a complete mouth makeover due to several missing teeth, along with some that were chipped and broken. We utilised a range of implants in the molar and premolar regions to replace the missing teeth and ensure ample chewing surfaces. Additionally, the front teeth were restored with metal-free zirconium crowns, achieving a beautifully natural appearance.
Amanda was thrilled with the stunning results of her new smile.
I knew if I only went for half the treatment the whole jaw wouldn’t perform 100% and make my existing wobbly teeth worse, so sensibly I went for the full monty!


Christine came to us after struggling with advanced gum disease that had severely affected her oral health.
Her sister, Teresa, was experiencing similar issues, so the two decided to travel to our award-winning
Budapest clinic together for expert treatment and long-term solutions.
After a detailed consultation and diagnostic assessment, Christine began a full mouth rehabilitation plan
designed to restore her oral function, rebuild her smile, and prevent further gum and bone deterioration.
Her treatment took place over a carefully planned nine-month period, ensuring each stage healed properly
and produced the best long-term outcomes.
One of the highlights of Christine’s treatment was the use of
pink porcelain-topped crowns—a highly aesthetic option that replicates both natural teeth
and gum line appearance. This advanced technique is particularly beneficial for patients who have suffered
from gum recession caused by gum disease.
These crowns allowed us to create a beautifully balanced smile, restoring lost gum tissue visually while ensuring
a seamless, natural look. Combined with high-quality dental implants, Christine regained a stable, functional,
and realistic set of teeth.
Although her treatment spanned nine months, Christine was absolutely over the moon with the final result.
Her new smile is aesthetically stunning, fully functional, and designed to last thanks to
advanced implant systems and craftsmanship from our on-site Budapest dental laboratory.
Travelling together made the journey easier and more enjoyable for Christine and Teresa, turning a stressful
dental situation into a positive, life-changing experience.


The patient arrived with several missing teeth and severely damaged upper teeth that could no longer be saved. These issues affected both chewing ability and confidence, making a full mouth restoration the best long-term solution. After a detailed assessment and digital imaging, we created a personalised treatment plan focused on stability, function, and a natural-looking smile.
To restore the upper arch, we placed an All-on-6 dental implant system. This approach provides exceptional strength and long-term reliability by securing a full arch of teeth on six strategically positioned implants.
We designed a custom porcelain-bonded All-on-6 bridge to rebuild the upper smile. The bridge includes pink ceramic to recreate a natural gum line, ensuring the final result looks balanced, realistic, and aesthetically harmonious.
For the lower jaw, we used a combination of dental crowns and implant-retained bridges to replace missing teeth and rebuild worn-down areas. This blended approach allowed us to improve chewing function while maintaining excellent aesthetics.
By using high-strength materials and precise implant placement, we created a lower restoration that feels comfortable, looks natural, and works seamlessly with the upper All-on-6 bridge.
The completed full mouth rehabilitation restored the patient’s ability to eat, speak, and smile with confidence. The combination of All-on-6 implants, porcelain-bonded bridges, and natural-looking crowns delivered a strong, durable, and beautifully balanced result.
This case highlights the power of modern full mouth dental implants to transform oral health and dramatically enhance quality of life.


The patient arrived with several missing teeth and severely damaged upper teeth that could no longer be restored. After a full clinical evaluation and diagnostic scans, our team recommended a comprehensive smile makeover to rebuild both function and aesthetics.
To rebuild the upper jaw, our surgeons placed an All-on-6 dental implant system, creating a strong, long-lasting foundation for the final restoration. We designed a custom porcelain-bonded bridge that included pink ceramic to mimic natural gum contours. This approach allowed us to create a balanced, lifelike smile with excellent durability.
For the lower jaw, we used a strategic combination of porcelain crowns and implant-retained bridges. This treatment not only restored full chewing function but also created a bright, symmetrical appearance that aligned perfectly with the new upper arch.
Together, the upper All-on-6 implants and lower crowns delivered a dramatic transformation. The patient regained confidence, proper bite function, and a natural-looking smile that will last for many years with proper care.


Our patient attended a full consultation at our London clinic, where a detailed physical assessment and panoramic
X-ray revealed several serious oral health concerns. These included periodontal disease, noticeable mobility of the
remaining teeth, and significant bone loss affecting both function and appearance.
To fully restore oral health and create a stable foundation for long-term function, our team designed a complete
full mouth makeover. This treatment plan included the placement of
six upper dental implants and four lower dental implants, strategically positioned to support
durable and natural-looking restorations.
Once the implants were placed and allowed to heal, we completed the restoration using
porcelain-bonded bridges. These bridges were custom-designed to deliver strength, long-term function, and a
beautifully balanced aesthetic. The porcelain finish ensured a natural appearance that blends seamlessly with the
patient’s facial features.
The final outcome was a dramatic transformation. The patient now enjoys a renewed ability to chew, speak, and smile
with confidence. The combination of precision-placed implants and high-quality porcelain restorations restored both
dental function and aesthetics to the highest clinical standard.


Before beginning treatment at our Budapest clinic, our client was experiencing significant dental issues caused by advanced periodontal disease.
This condition had led to loose, misaligned teeth and a collapsed bite, all of which impacted daily function and overall confidence. The extent of
bone loss and instability meant that a comprehensive, full-mouth restoration was the most effective long-term solution.
To restore health, stability, and aesthetics, our team carried out a complete rehabilitation. This multi-stage approach included:
Each phase was carefully timed to ensure proper healing, long-term stability, and optimal results.
Because periodontal disease often causes gum recession and uneven tissue levels, we incorporated pink porcelain into the bridge
design. This addition allowed us to create a balanced, natural-looking gum line and enhance the harmony of the smile—particularly important for
patients with significant tissue loss.
The transformation was significant. The new porcelain bridges restored full chewing ability, improved facial structure by correcting the collapsed
bite, and provided a bright, even, and healthy-looking smile. In addition to his dental results, the client thoroughly enjoyed his experience in
Budapest, adding a positive travel experience to his treatment journey.


After years of struggling with severe gum disease, Teresa and her sister Christine travelled to
our state-of-the-art clinic in Budapest to receive comprehensive restorative dental care. Teresa’s periodontal
condition had progressed significantly, leaving her with loose, uneven teeth and extensive
bone loss.
Teresa began her journey with a detailed consultation in our London clinic. A full diagnostic evaluation,
including X-rays, revealed the true extent of the damage — only five teeth were stable enough to be preserved.
With this information, our team designed a personalised full-mouth rehabilitation plan to restore both function
and aesthetics.
Once in Budapest, Teresa underwent a carefully structured treatment sequence carried out by our highly experienced
implantologists and cosmetic dental team. Her treatment plan involved:
Each stage was performed with exceptional precision, ensuring both long-term stability and natural-looking results.
Following the completion of her treatment, Teresa’s new smile looks natural, symmetrical, and perfectly
suited to her facial features. The transformation not only restored her oral health but also renewed her
confidence — leaving her delighted with her new appearance.
Teresa’s story is a powerful example of how modern implant dentistry can fully rehabilitate even the most
advanced cases of gum disease.


Emma’s dental problems started as a child when many of her adult teeth failed to grow. She was left with baby teeth that were out of proportion with her adult face and were also crooked.
Her new smile was achieved with a combination of dental bridges and crowns. Emma was very happy with her new smile and was featured in her local newspaper.


Our client contacted us with the desire to enhance the aesthetic appeal of his smile. Although his teeth were generally healthy and his bite was well-aligned, he had concerns about the angle and discoloration that needed to be addressed.
At our clinic, we conducted a thorough smile makeover, which included professional teeth whitening and the application of porcelain veneers. The results were stunning, revealing a beautifully transformed smile and a significant improvement in the overall colour of his teeth.


Mark received a comprehensive mouth restoration due to his teeth being worn and chipped. The treatment plan included bite correction and a complete restoration of Mark’s teeth to their original size using zirconium crowns. After having his initial consultation in London, Mark journeyed to Budapest for his treatment. This decision allowed him to save several thousand pounds on the procedure.


Mike came to us with severely undermined dental health caused by peridontal problems.
The all on 6 implant technique was utilised on the upper jaw whilst the original bottom teeth were fitted with a porcelain restoration, resulting in full function being restored.
Dr Badonyi exceeded my expectations, and gave me back my SMILE – I couldn’t be happier with the results, so thankful for this wonderful smile I am sporting today.


Our patient contacted us because gum disease had weakened his jawbone and caused several teeth to become loose. After taking diagnostic CT scans, we confirmed bone loss in multiple areas. As a result, it was clear that the patient needed a full mouth restoration.
To begin, we created a personalised treatment plan. First, we removed all remaining compromised teeth. This step allowed us to prepare the mouth for a stable, long-term solution.
Next, we placed All-on-6 dental implants in both the upper and lower jaws. Because bone loss was more severe in the upper jaw, we also carried out bone grafting to restore strength and support. These combined procedures helped create a solid foundation for the final bridges.
Once the implants had integrated, we fitted two 12-unit porcelain-bonded implant bridges. These bridges were custom-designed for natural aesthetics and excellent function. As a result, the patient regained full chewing ability, improved comfort and a confident, natural-looking smile.


The patient contacted our team with several serious dental concerns, including
After a detailed clinical examination and diagnostic imaging, our team developed
We recommended an All-on-6 restoration for the upper jaw—an
To complement the upper restoration, the lower jaw was rebuilt using a
All implants used in this case were high-quality Camlog implants,
The end result was a significant improvement in function, confidence, and
missing teeth, loose and mobile teeth, ongoing
gum disease, and significant deterioration of the remaining dental
structure. These issues were progressively affecting both oral function and smile
aesthetics, making a comprehensive solution essential.
Assessment and Treatment Planning
a personalised full-mouth rehabilitation plan. The primary goals were to restore
stability, rebuild function, and achieve a natural-looking smile using advanced,
long-lasting solutions.
approach that uses six strategically placed dental implants to support a full
arch of fixed teeth. This method is ideal for patients with bone loss, gum
disease, or failing upper teeth, providing exceptional strength and durability.
Lower Jaw Rehabilitation
combination of dental implants and fixed bridges.
This approach ensured a balanced bite, improved chewing efficiency, and a highly
aesthetic appearance.
Premium Materials for a Long-Lasting Result
renowned for their precision, reliability, and excellent long-term success rates.
The final teeth were crafted using porcelain-bonded materials,
chosen for their lifelike translucency, strength, and natural appearance.
Outstanding Transformation
overall oral health. The patient now enjoys a stable, secure smile that looks
completely natural and performs beautifully—representing a life-changing
transformation.


When the patient contacted us, he was missing several teeth, and many of his remaining teeth were heavily filled. His front teeth required realignment and an adjustment to his bite. With a remarkable transformation, we employed a combination of metal-free zirconium crowns and bridges in the front, along with porcelain-bonded bridges in the back and dental implants. The final results were truly impressive.


The patient required a comprehensive full-mouth rehabilitation, which involved the placement of metal-free zirconium crowns in the anterior region, porcelain-bonded bridges in the premolar and molar areas, as well as dental implants in the premolar and molar regions. The results are remarkable, and the patient’s mouth has been restored to optimal health.


Our client presented with gaps in her front teeth, misalignment, discoloration, and an angulated appearance.
To create a fuller, more even, and brighter smile, we utilized metal-free zirconium crowns combined with Zoom whitening.
Eager to achieve a more aesthetically pleasing smile, she traveled to Budapest for five days, during which she received a complete transformation.


David Naughton grew up feeling deeply self-conscious about his smile. From an early age, he struggled with
gappy, decayed, and uneven teeth, which not only affected his confidence but also his willingness
to care for them properly. Over time, his dental problems worsened, creating a cycle of discomfort and embarrassment
that impacted his daily life.
His difficulties were made worse by experiences with his NHS dentist, where he felt he never received the
comprehensive treatment or long-term solutions he truly needed. As a result, David reached a point
where he knew that a complete smile transformation was the only way forward.
After contacting our team, David travelled to our award-winning clinic in Budapest, where we created a
fully personalised full-mouth restoration plan tailored to his dental health needs and aesthetic goals.
His treatment involved:
The results were nothing short of life-changing. David’s new smile is
healthy, strong, and aesthetically natural, thanks to the durability and translucency of
zirconium crowns paired with long-lasting dental implants.
For David, the transformation went far beyond dental improvement. He regained his confidence, felt comfortable smiling
again, and finally received the high-quality care he had sought for years.
Today, David is enjoying a smile that not only looks fantastic but functions exactly as it should. His story is a powerful
example of how modern dentistry—combined with expert care and advanced technology—can completely reshape a person’s
confidence and quality of life.


The patient reached out to us seeking a comprehensive smile makeover. He presented with a range of dental issues, including
worn teeth and multiple missing molars and premolars. These problems were affecting both the function and appearance of his
smile. Additionally, he had older crowns in the front that were no longer holding up aesthetically and required replacement.
During his consultation, our team carried out a full clinical evaluation to understand the extent of the damage, bite
collapse, and overall structural concerns. Based on the findings, we designed a tailored treatment plan to restore
strength, balance, and aesthetics throughout the entire mouth.
To rebuild his smile, we utilised a blend of high-quality restorative solutions. This included placing new, natural-looking
crowns to replace the outdated ones, as well as restoring missing teeth with durable and aesthetically pleasing options
where needed. Every step was carried out with precision to ensure ideal function and long-lasting results.
The final outcome was a beautifully enhanced smile that not only looked exceptional but also restored full functionality.
The patient now enjoys improved oral health, a balanced bite, and a renewed sense of confidence.


The patient presented with severe dental issues, including advanced decay, damaged teeth, and several missing teeth.
To rebuild both function and aesthetics, we completed a comprehensive full-mouth rehabilitation.
This included an All-on-6 upper implant system, lower jaw implants for the premolars and molars, and high-quality crowns for the front teeth.
During the consultation and diagnostic scan, we identified significant bone loss and structural compromise in the upper jaw.
Because of this, restoring the upper arch with traditional crowns or bridges was no longer possible.
Therefore, we recommended an All-on-6 implant-supported bridge to provide strength, stability, and a natural-looking smile.
We placed six strategically positioned implants in the upper jaw to create a solid foundation for a long-term restoration.
After implant placement, we fitted a beautifully crafted porcelain-bonded bridge.
The bridge includes pink ceramic to replicate the natural gum line, improving both realism and overall smile harmony.
For the lower jaw, we used a combination approach to restore full function.
We inserted implants in the premolar and molar regions to support durable implant-retained bridges.
Additionally, we restored the front lower teeth with custom porcelain crowns.
Together, these restorations created a balanced bite and a seamless aesthetic transition between the upper and lower arches.
By combining All-on-6 dental implants, lower jaw implants, and natural-looking porcelain crowns, we rebuilt this patient’s smile from the ground up.
The final result delivers excellent chewing function, improved facial support, and a dramatically enhanced appearance.
Most importantly, the patient left with renewed confidence and long-term oral health stability.


Russell Fraser came to us after experiencing extensive damage to his teeth. The issues stemmed from a combination of harsh online teeth-whitening products and high consumption of soft drinks and fruit juices, both of which can rapidly erode enamel and alter tooth shape, colour, and strength. Realising he needed a complete smile restoration, Russell sought professional treatment to regain both function and confidence.
By the time Russell reached out for help, the enamel erosion was severe. His teeth had:
Started affecting his overall appearance and bite
This made him an ideal candidate for a cosmetic transformation using metal-free zirconium crowns, known for their strength, translucency, and realistic aesthetic.
To rebuild his damaged smile, our team completely restored his upper and lower teeth using premium zirconium crowns. These restorations were chosen because they:
The result was a dramatic enhancement in both appearance and function, giving Russell a healthy, confident smile he could be proud of.
Russell was thrilled with his results, gaining not only a confident smile but also improved dental function. The dramatic transformation captured the attention of the national press, and his smile restoration story was featured widely due to its remarkable outcome and the life-changing impact of his treatment.


When the patient first contacted us, she was experiencing significant tooth discolouration and
noticeable general wear. Several of her teeth had large, ageing fillings, and many required
crowns to restore structure, strength, and appearance. Everyday activities such as smiling, speaking, and eating
had become sources of self-consciousness.
After a detailed consultation, our team designed a personalised full-mouth rehabilitation plan focused on achieving
both functional improvement and beautiful aesthetics. The assessment confirmed that a combination approach would be
the most effective way to rebuild her smile.
We carried out a full-mouth makeover using a carefully selected blend of premium materials and techniques,
including:
This combination allowed us to address structural weaknesses while dramatically improving the overall colour,
symmetry, and harmony of her smile.
The result was a truly remarkable transformation. Her rebuilt smile is brighter, more balanced, and beautifully
natural, restoring both confidence and oral function. She left extremely happy with the outcome—and with a renewed
enthusiasm for maintaining her dental health.


Our patient came to us seeking a complete full mouth rehabilitation after experiencing
large gaps, loose teeth, and progressive dental deterioration. These issues were
not only affecting the appearance of his smile but also his ability to chew comfortably and
maintain long-term oral health.
After a thorough assessment, we designed a bespoke treatment plan combining several advanced
restorative techniques. This included:
These carefully coordinated treatments helped rebuild the patient’s bite, enhance symmetry,
and restore natural aesthetics.
The transformation was nothing short of remarkable. The patient now enjoys a
beautiful, confident smile along with significantly improved oral function. This
comprehensive rehabilitation not only rejuvenated his appearance but also laid the foundation
for healthier long-term dental wellbeing.
If you’re living with similar issues — missing teeth, gum problems, loose teeth, or an uneven bite —
our expert team is here to help guide you towards the strong, confident and natural-looking
smile you’ve always wanted.


During her consultation in London, our patient shared concerns about several dental issues,
including misaligned front teeth, missing premolars, and
areas of dental decay. These challenges were not only affecting her confidence
but also limiting his overall dental function.
To fully restore his smile, we created a comprehensive and personalised treatment plan.
This included the placement of zirconium metal-free dental crowns and
porcelain bridges to rebuild the missing and damaged teeth.
Zirconium crowns were chosen for their exceptional strength, biocompatibility,
and natural tooth-like translucency.
The outcome was a beautifully balanced transformation.
The new crowns and bridges improved the alignment,
function, and aesthetic appearance of her smile —
giving him confidence and long-lasting dental stability.

When Nicola Lewin first contacted us, she was living with the difficult effects of advanced gum disease.
Both her upper and lower jaws had been severely compromised — her teeth had become loose, her gums were inflamed,
and diagnostic X-rays revealed significant bone loss. These issues not only affected her ability to eat and speak
comfortably but also had a major impact on her confidence and day-to-day life.
To restore full function and aesthetics, Dr. Attila Kaman developed a comprehensive treatment plan.
Nicola’s failing teeth were carefully extracted, and dental implants were placed to rebuild the structure and strength
of both jaws. These implants served as a stable foundation for her new implant-supported bridges,
designed to look natural and feel secure.
Thanks to precise implant placement and advanced techniques, Nicola was able to use her new teeth immediately.
Her implant bridges restored proper chewing function, speech clarity, and overall oral stability — giving her teeth
that looked and performed as well as, if not better than, her natural smile.
Nicola’s transformation was so remarkable that her story captured public attention. Her journey — from severe gum
disease and bone deterioration through to a confident, functional new smile — was featured in local and national press,
as well as a segment on the BBC. Her case continues to inspire others facing similar dental concerns and demonstrates
the life-changing potential of full-mouth implant rehabilitation.


Our client came to us worried about discoloured, chipped and uneven teeth. He wanted a brighter, more balanced smile without compromising on strength or aesthetics.
We transformed his smile using metal-free zirconium crowns, crafted by our expert dental technicians in Budapest. These high-quality restorations offer exceptional durability, natural translucency and precise colour matching.
The result is a beautifully refreshed smile with improved shape, symmetry and brightness — a long-lasting cosmetic upgrade that looks completely natural.